A dental inlay is a restoration made by a dental technician designed to restore a tooth. It is bonded into a properly prepared and etched cavity in the tooth. After bonding, it restores the missing part of the tooth and reinstates its original aesthetics and function.
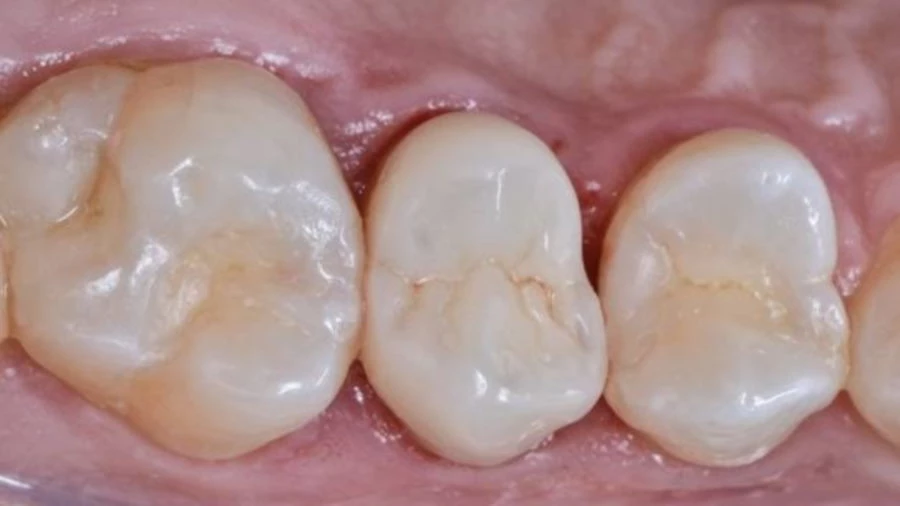
Depending on the area of the tooth covered by the restoration, it can be referred to as an inlay, onlay, or overlay. The inlay is the smallest of these, as it only covers the groove area and does not extend over the cusps.
An onlay refers to a restoration that covers a larger area of the tooth, extending over part of the cusps. Due to this, the onlay endures greater stress. An overlay has the largest coverage, encompassing the cusps and affecting the entire chewing surface. Although extensive, it is smaller than a full crown.
Inlay, onlay, or simply referred to as an inlay filling in everyday language, can often serve as an alternative to traditional dental fillings. It provides a solution in cases where the tooth's crown cannot be properly restored with a conventional filling due to extensive loss of tooth structure.
In most cases, instead of "grinding down" the tooth and creating a crown, we recommend making a dental inlay. The greatest advantage of an inlay over a crown is that it restores the tooth's original shape with less sacrifice of tooth structure. Due to its excellent aesthetics, it is also an excellent solution for replacing amalgam fillings. A significant advantage of an inlay over traditional fillings is its longer lifespan, as it is made in a dental laboratory from special ceramics (porcelain inlay) or plastic.
There are numerous advantages to making inlays:
Inlays can be made from various materials. We can have aesthetic inlays made from ceramics (IPS e.max®) or special plastics (Gradia®), as well as precious metal inlays, where the material used is gold, resulting in a gold inlay.
Inlays and onlays fall into the category of indirect restorations, as their fabrication requires the support of a dental laboratory.
Composite inlays are crafted from a similar light-curing resin commonly used in dental fillings, but are meticulously fabricated under laboratory conditions. This process enhances their durability, as the controlled environment allows for the material's optimal hardening. The inclusion of ceramic particles within the composite further improves its physical properties. During fabrication, multiple layers are applied, with careful attention to achieving the ideal color stratification. As a result, the physical characteristics of composite inlays surpass those of traditional fillings, offering superior performance and longevity.
The IPS e.max pressed ceramic inlay represents the pinnacle of inlay technology. At Helvetic Clinics, we are committed to using only the highest quality materials, making durable inlays accessible right in the heart of Budapest. We frequently utilize the e.max inlay, crafted from premium materials by Ivoclar Vivadent (Liechtenstein).
The IPS e.max® is one of the most advanced innovations available today, combining uncompromising aesthetics, impressive hardness (360-400 MPa), and exceptional precision. The e.max inlay is crafted from a ceramic material produced using advanced press technology. This versatile material can be used to create ceramic inlays, onlays, and overlays, offering superior results in both functionality and appearance.
After a root canal treatment, it is advisable to restore the tooth's crown with an inlay. During root canal therapy, a significant amount of tooth tissue must be removed to access and clean the root canals, which leaves the tooth vulnerable to the immense forces exerted during chewing. By creating an inlay, we cover and protect the cusps, effectively reducing the risk of fracture in the root-treated tooth.
If the dentist determines during the consultation that an inlay is necessary, you will receive a written quotation from us. This will include all required dental treatments, backed by our guarantee.
Inlays or fillings can be categorized based on their cost. The price is influenced by the material, type, and technology used in the fabrication. For example, an E-max inlay is more expensive than its plastic counterpart. Various dental inlay prices can be found at the bottom of the page or on the dental pricing page.
If you are seeking an inlay solution for the perfect restoration of your teeth, our specialists in inlay fabrication are ready to assist you. Please contact us at 053 930 1323!
What is the difference between an inlay and an onlay?
An inlay does not cover the cusps, whereas an onlay covers and restores at least one cusp.
How is the inlay secured to the tooth?
The inlay is secured to the tooth using a specialized composite adhesive.

