Crown lengthening surgery may be necessary when, during a dental procedure (such as composite filling, inlay/onlay, dental crown, or dental bridge), it is observed during clinical examination that the tooth is significantly decayed beneath the gum line. In such cases, accurate dental restoration is often not possible without crown lengthening surgery. Even if successful, there is a risk of development of gum disease and bone loss due to the proximity of the restoration to the bone. This inflammatory condition develops because there is not the minimum required distance of approximately 3 mm between the restoration and the bone level, which is essential for maintaining the tissues in an inflammation-free state.
Therefore, it is justified to perform crown lengthening surgery if necessary before the final dental restoration is completed. With this oral surgical procedure, we extend the clinical crown of the tooth, increasing the distance between the edge of the dental restoration and the bone level. If bone contouring is also required, surgical motor usage may be necessary.
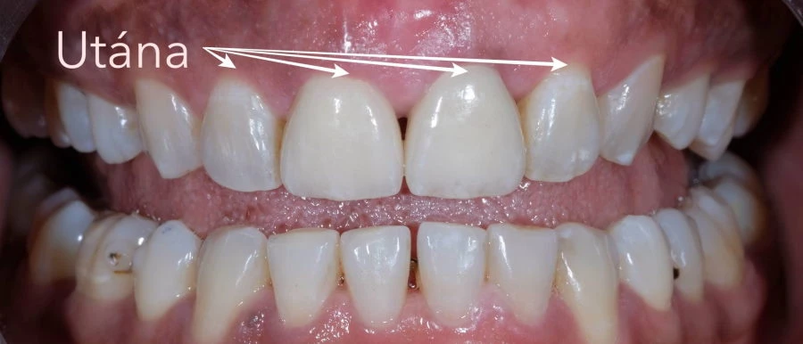
Crown lengthening surgery may also be necessary in cases where the patient shows excessive gum display when smiling (gummy smile).
Under local anesthesia, the procedure involves retracting the gum tissue and reducing the amount of bone/gum in the affected area. Subsequently, the area is sutured. After the crown lengthening surgery and upon healing, the gum tissue recedes, resulting in more of the tooth being exposed above the gum line than before the procedure.
The intervention is performed with strict adherence to hygiene protocols, using sterile instruments. Crown lengthening surgery can also be conducted under general anesthesia.
The cost of crown lengthening depends on several factors. The extent of the procedure and the size of the surgical area primarily determine the price. Prices for crown lengthening can be found at the bottom of the page or on the dental prices page.
If crown lengthening is the only viable solution for the long-term preservation of your tooth, please contact our clinic at 0539 301 323!
Is crown lengthening surgery absolutely necessary for me?
Crown lengthening surgery is generally necessary due to very deep decay. Its purpose is to ensure that the edge of the future dental restoration is not too close to the gum line, thus maintaining an inflammation-free state in the future. Without crown lengthening, these teeth cannot receive properly fitting restorations with adequate marginal adaptation.
Can crown lengthening surgery be performed for aesthetic reasons?
The aesthetics of our anterior teeth in patients with a gummy smile can only be improved by repositioning the soft tissues, the gums, higher with the help of crown lengthening, thereby increasing the length of the clinical crowns of the teeth. This method can even improve asymmetric gum contours.
How painful is crown lengthening surgery?
We generally refer to it as a minor outpatient procedure, always performed under local anesthesia, ensuring that the surgery is painless. Postoperative discomfort is usually minimal.

